デンタルレントゲン
デンタルレントゲン

HOME > デンタルレントゲン

10枚法デンタルレントゲン写真

10枚法デンタルレントゲン写真

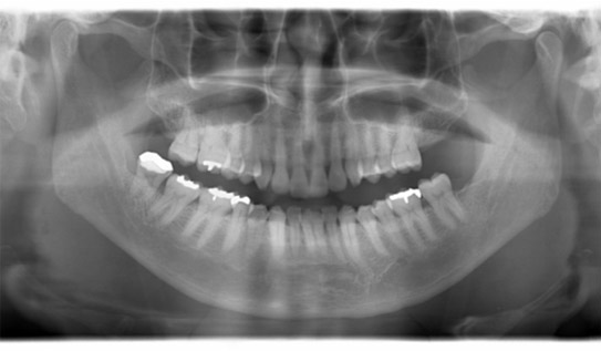
パノラマレントゲン写真

パノラマレントゲン写真

歯科用CTによる3Dレントゲン写真

歯科用CTによる3Dレントゲン写真
みらい歯科クリニック
アクセスマップはこちら
施設基準等のお知らせ
問診票ダウンロード
野田駅のみらい歯科クリニック 歯科/歯医者の予約はEPARK歯科へ
モバイルサイト